การขยายเชื้อจุลินทรีย์สังเคราะห์แสง
ด้วยใบทองหลางน้ำ
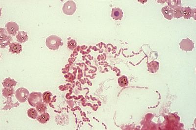
จุลินทรีย์สังเคราะห์แสงสายพันธุ์ Rhodobacter capsulatus
(Rhodobacter capsulatus) เป็นแบคทีเรียสังเคราะห์แสงกลุ่ม แอนออกซีเจนิก (Anoxygenic Photosynthetic Bacteria) ที่อยู่ในวงศ์ Rhodobacteraceae มีความสามารถในการสังเคราะห์แสงโดยไม่ผลิตออกซิเจน (ใช้แสงอาทิตย์เป็นพลังงานแต่ไม่แตกน้ำเป็น O₂) และมีบทบาทสำคัญในระบบนิเวศ การเกษตร และการบำบัดน้ำเสีย
ลักษณะและคุณสมบัติของ Rhodobacter capsulatus
รูปร่าง: แบคทีเรียรูปแท่ง ( rod-shaped )
สี: สีแดง-ม่วง เนื่องจากมีสารสี แบคทีริโอคลอโรฟิลล์ (Bacteriochlorophyll) และ แคโรทีนอยด์ (Carotenoids)
การเจริญเติบโต:
- เจริญได้ทั้งในสภาพ มีแสง (Photosynthetic) และ ไม่มีแสง (Respiratory)
- ชอบสภาพ ไม่มีออกซิเจน (Anaerobic) หรือมีออกซิเจนน้อย
- ใช้สารประกอบกำมะถัน (เช่น H₂S) หรือสารอินทรีย์เป็นแหล่งอิเล็กตรอน
ประโยชน์ของ Rhodobacter capsulatus
1. ทางการเกษตร
- ตรึงไนโตรเจน (Nitrogen Fixation): ช่วยเปลี่ยนไนโตรเจนในอากาศให้เป็นรูปแบบที่พืชใช้ได้
- ผลิตสารกระตุ้นการเจริญเติบโตของพืช เช่น ฮอร์โมนพืช (ออกซิน, ไซโตไคนิน) และวิตามินบี
- ย่อยสลายสารอินทรีย์ ในดิน ทำให้ดินอุดมสมบูรณ์ขึ้น
2. การบำบัดน้ำเสีย
- ย่อยสลายสารพิษ เช่น ไฮโดรเจนซัลไฟด์ (H₂S) และแอมโมเนีย (NH₃)
- ลดมลพิษในน้ำ โดยการสลายสารอินทรีย์และโลหะหนัก
3. งานวิจัยและอุตสาหกรรม
- ผลิตไฮโดรเจน (Biohydrogen): มีศักยภาพในการผลิตพลังงานสะอาด
- ผลิตสารชีวภาพ เช่น โคเอนไซม์ Q10 (ใช้ในเวชสำอางและยา)
การขยายเชื้อจุลินทรีย์สังเคราะห์แสงด้วยใบทองหลางน้ำเป็นวิธีที่ได้รับความนิยม เนื่องจากทำได้ง่าย ต้นทุนต่ำ และได้จุลินทรีย์สายพันธุ์ที่ดี (Rhodobactor Capsulatus) ซึ่งแตกต่างจากการขยายเชื้อด้วยวิธีอื่น ๆ
ส่วนผสมและอุปกรณ์:
- น้ำสะอาด 1 ลิตร
- หัวเชื้อจุลินทรีย์สังเคราะห์แสง Rhodobacter capsulatus ปริมาตร 1 ใน 4 ส่วนของน้ำ
- ใบทองหลางน้ำ 25 ใบ (หรือ 25 กรัม)
- ขวดพลาสติกใส
ขั้นตอนการทำ:
1. เทหัวเชื้อจุลินทรีย์สังเคราะห์แสงลงในขวดพลาสติก
2. ฉีกใบทองหลางน้ำเป็นชิ้นเล็ก ๆ ใส่ลงในขวด
3. เติมน้ำสะอาดลงไปจนเกือบเต็มขวด
4. ปิดฝาขวดให้สนิท แล้วนำไปตั้งไว้ในที่ที่มีแสงแดดส่องถึง อุณหภูมิที่เหมาะสม 25-35°C
5. วันที่ 1-2: เริ่มมีฟองแก๊สเล็กน้อย วันที่ 3-5: น้ำเปลี่ยนเป็นสีชมพู-แดง (แสดงว่าเชื้อทำงาน) วันที่ 7: กรองเอากากออก จะได้น้ำเชื้อสีแดงใส สังเกตสีของจุลินทรีย์ หากเปลี่ยนเป็นสีแดงสด แสดงว่าจุลินทรีย์พร้อมใช้งาน
6. การเก็บรักษา เก็บในขวดสีชา ปิดฝาแน่น วางในที่ร่ม อายุการใช้งาน 3-6 เดือน
ข้อควรระวัง:
- ควรใช้ขวดพลาสติกใส เพื่อให้แสงแดดส่องถึงจุลินทรีย์ได้ทั่วถึง
- ควรตั้งขวดไว้ในที่ที่มีอากาศถ่ายเทสะดวก
- หากมีกลิ่นเหม็นเน่า แสดงว่าจุลินทรีย์เน่าเสีย ควรทิ้งและทำใหม่
การนำไปใช้:
- ผสมจุลินทรีย์สังเคราะห์แสงกับน้ำในอัตราส่วน 1:100 แล้วนำไปรดน้ำต้นไม้
- ใช้จุลินทรีย์สังเคราะห์แสงหมักกับเศษอาหารหรือวัสดุเหลือใช้ทางการเกษตรเพื่อทำปุ๋ยหมัก
- ใช้ในการบำบัดน้ำเสียโดยการเติมลงในแหล่งน้ำ
ข้อมูลเพิ่มเติม:
- ใบทองหลางน้ำเป็นพืชตระกูลถั่ว มีไนโตรเจนสูง ซึ่งเป็นอาหารของจุลินทรีย์สังเคราะห์แสง
- จุลินทรีย์สังเคราะห์แสงสายพันธุ์ Rhodobactor Capsulatus มีประสิทธิภาพในการตรึงไนโตรเจนสูงกว่าสายพันธุ์อื่น ๆ
Rhodobacter capsulatus
PGS นครศรีธรรมราช
เครือข่ายเกษตรอินทรีย์ PGS นครศรีธรรมราช ขับเคลื่อนโดย สมาคมอาหารธรรมชาติยั่งยืน นครศรีธรรมราช
ที่อยู่ : ตำบลควนกลาง อำเภอพิปูน จังหวัดนครศรีธรรมราช
โทร : 0816577283
